吓懵!浙江20岁男生挤了颗痘,肺被“啃”出10多个空洞!医生:这地方的痘,挤了可能要命!
“就随手挤了颗痘痘,怎么会差点肺坏死?”宁波一位20岁大学生的经历,让无数网友惊出冷汗:原来我们习以为常的小动作,竟藏着致命风险!没洗手挤了颗面部痘痘,3天后烧到39℃,肺被细菌啃出10多个空洞,住院12天才捡回一条命——这不是危言耸听,而是真实发生的病例!
大二学生小林备考熬夜后,脸上冒出一颗黄豆大的红痘。看着碍眼的他,没洗手就对着镜子用力挤压,挤出脓水时还觉得“清爽多了”。可万万没想到,噩梦才刚刚开始:痘痘不仅没好,反而持续化脓,紧接着他开始发烧咳嗽,右下胸像被针扎一样疼,深呼吸、咳嗽时疼得直冒冷汗,退烧药吃了也只治标不治本。
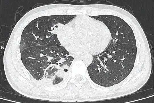
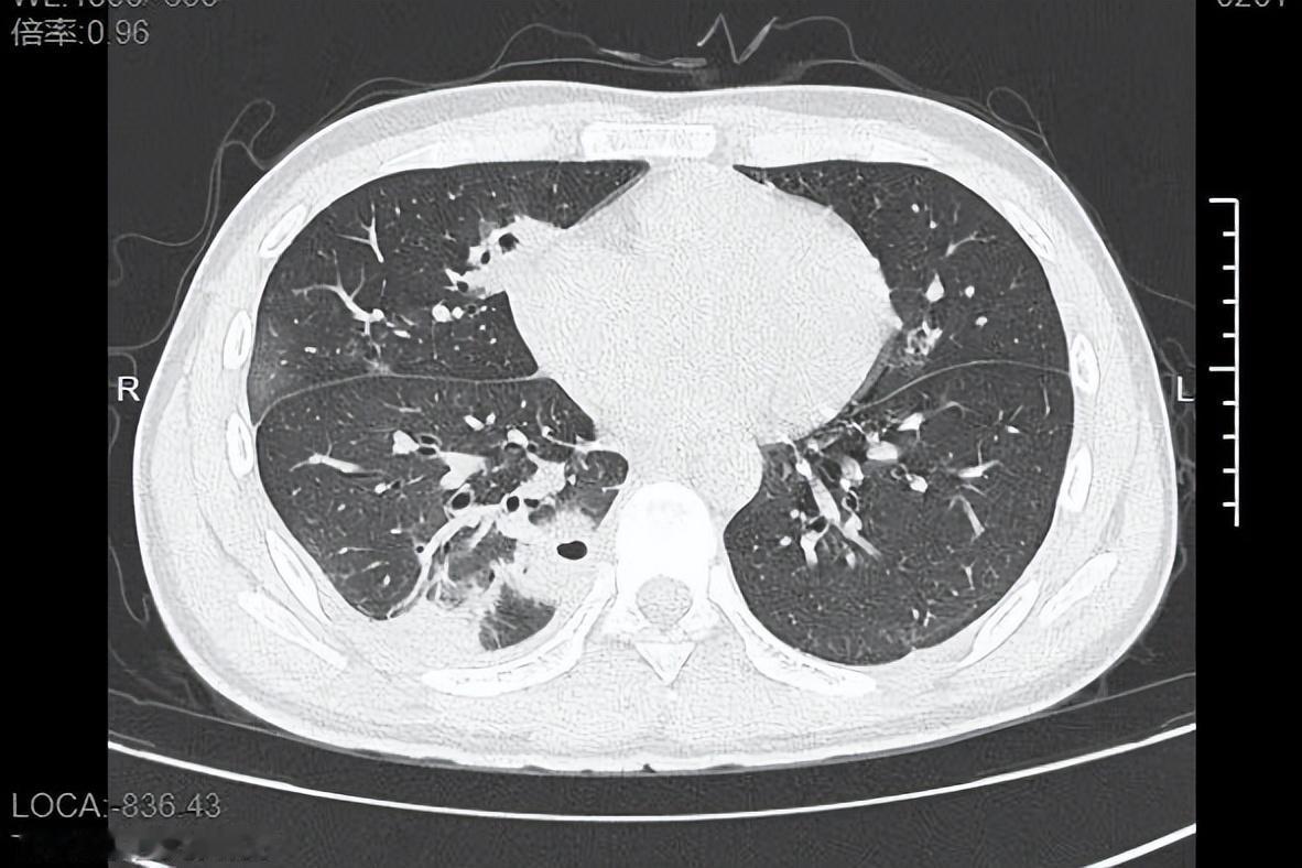
熬到第三天,小林体温飙至39℃,赶紧就医。CT检查结果让医生都皱眉:他的肺里布满了十几个空洞,部分肺组织已经坏死,确诊为血源性肺脓肿!细菌培养显示,罪魁祸首是“金黄色葡萄球菌”——这种藏在每个人皮肤表面的细菌,竟顺着挤痘的伤口闯进了血液,一路侵袭到肺部。
“问题就出在痘痘长的位置和不当挤压上!”接诊的丁群力主任医师直言,小林的痘痘刚好长在面部“危险三角区”——鼻根到两侧口角的三角形区域,这里的血管特殊:没有静脉瓣(相当于血管里没有“单向阀门”),细菌被挤压后能直接顺着血液逆行,要么冲进颅内引发脑膜炎,要么扩散到肺部、肝脏等器官,引发败血症和组织坏死 。
这可不是个例!网友看完纷纷后怕:“我昨天刚挤了鼻梁上的痘,现在后背发凉”“原来我之前命大,难怪我妈一直不让我挤痘”“脸上反复长痘,总忍不住上手,现在彻底不敢了”。
为什么挤痘堪比“玩命”?这些后果你绝对想不到
浙中医大二院张亦轩医生揭秘,挤痘的危害远不止“留痘印”:
- 细菌扩散:挤压会破坏毛囊壁,让原本被包裹的细菌冲进血液,引发全身感染,轻则败血症,重则颅内感染、器官坏死;
- 留疤毁容:损伤真皮层胶原蛋白,形成永久性痘坑,炎症还会导致痘印迟迟不退;
- 加重炎症:把脓液推向皮肤深层,小红包变成顽固结节、囊肿,更难治愈。
更关键的是,不只是面部危险三角区,身体其他部位的痘也别乱挤:背部痘痘的疤痕更难消退,臀部、腹股沟的“大硬痘”可能是化脓性汗腺炎,盲目挤压会导致感染扩散,必须就医诊断。
痘痘熟透非挤不可?4个安全步骤记死,缺一不可
医生强调,多数痘痘靠皮肤自我修复就能好转,实在要处理,仅适用于“顶端有白色脓头、不红肿”的成熟痘痘,且必须遵守以下流程:
1. 事前准备:用肥皂彻底洗手,用酒精消毒痘痘区域和挤痘针;
2. 软化皮肤:用温热毛巾热敷3-5分钟,让毛孔张开;
3. 轻柔操作:用消毒后的挤痘针环状端对准脓头,轻轻施压,见脓液或血清排出就停,千万别暴力挤压;
4. 事后护理:用碘伏再次消毒伤口,涂抹抗菌药膏,保持伤口干爽透气。
如果痘痘红肿严重、反复爆发,或形成结节、囊肿,属于中重度痤疮,别靠偏方或手挤,建议及时就医。目前中西医联合方案已很成熟:西医的维A酸类药物、红蓝光治疗,中医的中药湿敷、火针等,能根据体质量身定制治疗方案,避免盲目护理加重病情。
警钟敲响!这些痘痘绝对不能碰
- 面部危险三角区(鼻根至两侧口角)的痘,再丑也别挤;
- 红肿疼痛、没有脓头的炎性痘痘,禁止挤压;
- 身体褶皱处(腹股沟、臀部)的大硬痘,可能是皮肤疾病,需就医确诊;
- 反复化脓、面积扩大的痘痘,大概率是感染加重,别拖延治疗。
一颗小痘痘,差点酿成大祸!小林的经历给所有人敲响警钟:别把“挤痘”当成小事,面部危险三角区的血管直通颅内和全身,一次不当操作就可能让细菌“闯祸”。痘痘再碍眼,也别拿健康赌!
你有没有随手挤痘的习惯?曾经挤痘后出现过什么问题?欢迎在评论区分享你的经历,点赞收藏,转发给身边爱挤痘的朋友,一起避开这个“致命误区”!

