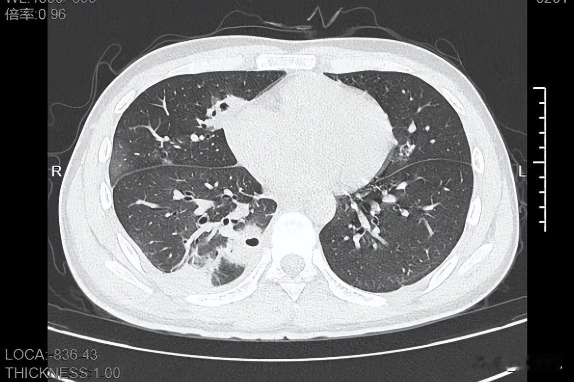
“我再也不手欠了!”浙江宁波,一名大二男生看到脸上长了几个痘痘,很影响自己的形象,就随手挤掉了,可让他没想到的是,几天后自己就发烧咳嗽,去医院拍片检查,竟发现肺里有十几个空洞,而这原因就是因为他当时手欠挤的那个痘痘 小林介绍,他一名大二学生,考试周连着熬夜,脸上冒出颗黄豆大小的红疙瘩。他嫌难看,走到镜子前抬手就挤。手没洗,灯光刺眼,他盯着那一点红光,硬是把脓挤出来,心里还觉得算是解决了麻烦事 几天后这颗痘还在发炎,他整个人却先扛不住了。发烧、咳嗽、胸口扎着痛,吃药只能压一阵,呼吸都像被火烧,熬到第三天,体温飙到39度,他才匆匆赶到医院检查 CT检查,小林的肺部布满了十几个空洞,部分肺组织已经坏死。医学上这叫“血源性肺脓肿”,是细菌入血后侵蚀肺部导致的严重感染,是在他挤痘时被压力推进了血管 好在他还年轻,在医院接受了12天的抗生素治疗后,终于康复出院。但这段经历,足以让他一辈子记住:脸上的痘痘,真的不能乱挤 对此,不少网友也是纷纷感叹 有网友说:真的假的呀,我都不知道挤了多少鼻子周围的痘痘了 不得不说,这种话太典型了,因为这样的事很多人都干过。说实话,很多人从青春期一路挤到成年,照样活蹦乱跳,这也正是问题所在。危险不是百分之百发生,而是有点像买盲盒,大多数时候你能开到正常款,可一旦抽到雷,就麻烦了 关键不是挤痘痘一定会出事,而是脸部这块区域本身血管密集、通路特殊,细菌一旦进血,后果就不算小。平常没事,是因为你那次刚好干净、细菌不多、免疫扛得住,三个条件随便缺一个,都可能往糟糕的方向走 这么说不是为了吓唬谁,而是给大家一个现实提醒。能不挤就别挤,能用科学方法就别靠手感
