修理师傅弯腰修水管,身体的“主水管”却突然喷血,心脏几乎“空转”!医生提醒:如出

天涯流客 2025-11-04 21:56:45

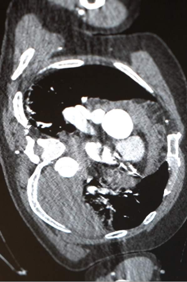
修理师傅弯腰修水管,身体的“主水管”却突然喷血,心脏几乎“空转”!医生提醒:如出现这种症状请立即就医。 近日,陕西西安的修理师傅章先生经历了惊险时刻。当天,章先生正在修理水管,而下一刻他自己的“生命水管”开始疯狂渗血——作为人体血液总管道的胸腹主动脉撕裂,血液正从破口喷涌,左侧胸腔已有1700ml积液,相当于成人全身血量三分之一!他的心脏几乎在“空转”。这是一起极其危急的急症——主动脉撕裂。主动脉是人体中最主要的动脉,负责将血液从心脏输送到全身。一旦主动脉发生撕裂,血液会迅速从血管内喷涌出来,导致大量出血和血容量的快速丧失,危及生命。 关键点分析: 主动脉撕裂的严重性:主动脉撕裂是一种急性、危及生命的疾病,常由高血压、主动脉壁弱点或创伤引起。其症状包括突发剧烈背部或胸部疼痛,疼痛可能呈撕裂样或刀割样。 症状表现: 突然剧烈的胸背痛 出血(如新闻中提到的“喷血”) 休克表现(血压下降、面色苍白、出汗、意识模糊) 心跳加快,甚至心脏“空转”——指心脏因缺血或休克而几乎无法正常泵血。 紧急处理: 立即拨打急救电话 维持呼吸道通畅,避免移动患者 控制出血(如止血带等,需专业操作) 迅速送医,进行手术修复 预防与提醒: 高血压患者应定期监测血压,遵医嘱用药 养成健康生活习惯,避免剧烈运动或创伤 任何突发胸背剧痛都应引起重视,及时就医 总结: 主动脉撕裂是一种极其危险的急症,患者若出现类似剧烈胸背痛、突然出血、意识模糊等症状,应立即就医,争取黄金时间进行救治。公众也应提高认识,重视血压管理和身体信号的变化,以预防此类事件的发生。大动脉爆裂

0 阅读:14
天涯流客

天涯流客

感谢大家的关注