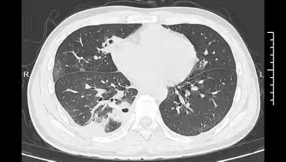
手贱挤颗痘,肺被啃出10多个洞!20岁小伙差点救命 谁能想到,挤颗痘痘能把肺搞出“蜂窝煤”?宁波这位20岁大学生的经历,简直是现实版“祸从手出”! 大二学生小林熬夜备考,脸上冒了颗黄豆大的痘痘,没洗手就随手挤了,当时还觉得神清气爽。结果没几天,他就发烧咳嗽,退烧药不管用,胸口疼得像被针扎,烧到39℃才赶紧去宁波大学附属第一医院。CT一查吓傻众人,肺里竟有10多个空洞,部分肺都坏死了,确诊是血源性肺脓肿。 原来痘痘长在脸部“危险三角区”,这地方的血管没“防护门”,挤压的细菌顺着血液跑到了肺部。好在小林年轻扛得住,12天抗生素治疗才捡回一条命。老话常说“小洞不补,大洞吃苦”,这痘痘就是典型! 别觉得挤痘是小事,“危险三角区”的痘痘挤不好可能引发脑膜炎,甚至危及生命。皮肤自己会修复,没必要瞎折腾。咱们可得管住手,不然小毛病闹出大危险,真就得不偿失啦!痘痘 粉刺爆痘
